Before & After
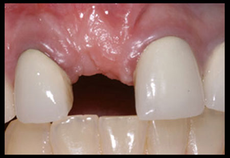
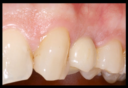
Bone Grafts
Before

Before
After

After


Connective Tissue Grafts
Before
Before
After
After
Before
After
Before
After
Before
After
Crown Lengthening
Before
Before
After
After
Sinus Lifts
Before
Before
After
After
Before
After
Dental Implants